
Susi hat 2 schwere Patella Luxationen
von 6,000.00 CHF erreicht
Steckbrief
Tier: Susi, 6-jährige Zwergspitz Hündin
Beschwerden: Patellaluxation beidseits Grad 4, linke Hüfte subluxiert, Femurverkrümmung, Tibiarotation
Therapie: Operation linkes Bein, anschliessend Physiotherapie für rechtes Bein
Gesamtkosten: ca. CHF 6'000.-
Zielbetrag
-
6000CHF
Tier: Susi, 6-jährige Zwergspitz Hündin
Beschwerden: Patellaluxation beidseits Grad 4, linke Hüfte subluxiert, Femurverkrümmung, Tibiarotation
Therapie: Operation linkes Bein, anschliessend Physiotherapie für rechtes Bein
Gesamtkosten: ca. CHF 6'000.-

Verlauf
«Susi hat seit Längerem Probleme beim Gehen. Sie bekommt täglich starke Schmerzmittel. Auch mit den Schmerzmitteln läuft sie maximal 100 m. Danach weigert sie sich weiterzugehen. Ich finde leider keine Versicherung, die die Kosten übernehmen würde. Mit meiner kleinen AHV-Rente weiss ich nicht, wie ich Susi helfen kann, damit sie nicht mehr unter diesen starken Schmerzen leidet. Die Kosten für die 2 Operationen und das CT sind einfach viel zu hoch für mich. Liebes Haustierhilfe-Team, Sie sind meine letzte Hoffnung.»
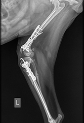
Susi wurde in einer Tierklink genau untersucht, um die Grösse des Schadens festzustellen. Allein das Ergebnis der Röntgenuntersuchung ist für Susi katastrophal. Die linke Hüfte ist fast ausgerenkt (subluxiert) und beide Kniescheiben haben sich völlig vom Kniegelenk gelöst (Schweregrad 3-4). Der Oberschenkel ist verkrümmt und der Unterschenkelknochen hat sich verdreht. Durch die lange Schonhaltung ist die Muskulatur sehr schwach ausgebildet. Dazu ist eine genaue Beurteilung des Beckens und der Hinterbeine via CT notwendig. Das linke Hinterbein wurde operiert. Das rechte Hinterbein wird nur mit Physiotherapie behandelt.
Wir haben bereits CHF 5'300.- bezahlt. Dieses Geld fehlt uns jetzt, um weiteren Tieren zu helfen. Es fehlen noch mindestens CHF 2'500 für die restlichen Behandlungen. Nur mit der Unterstützung von tierliebenden Menschen, können wir auch weiterhin die Kosten für solche schlimmen Fälle übernehmen.
von 6,000.00 CHF erreicht

